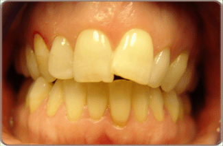
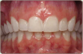
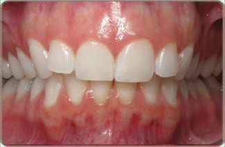
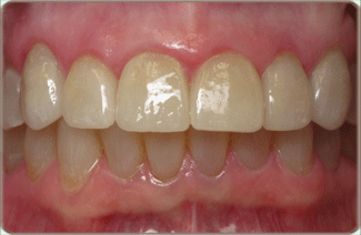
Crowns...before and after
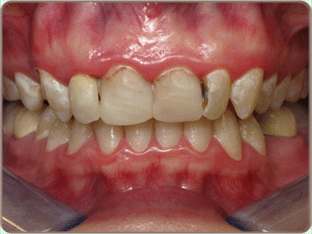
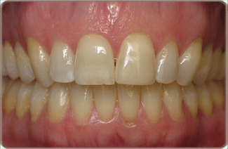
Veneers...before and after
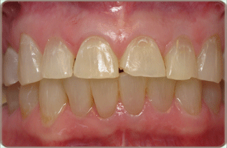
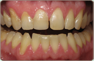
Invisalign...before and after
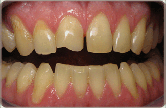
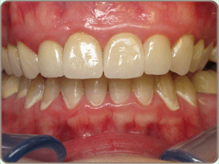
Composite filling on front tooth...before and after